歯冠長延長術

2025-11-17

歯冠長延長術の症例

担当医
-
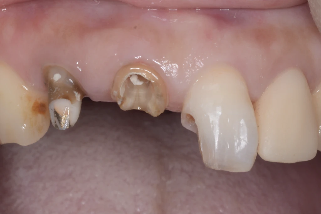
主訴
前歯の審美不良、歯肉の出血、ラインの不一致
期間
約2ヶ月
費用
約300,000円(税抜)
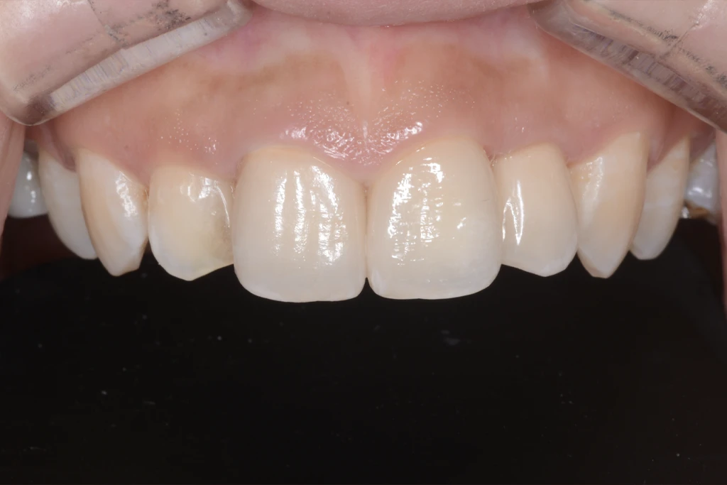
治療内容
右上の前歯にクラウンレングスニング(歯冠長延長術)を行い、オールセラミッククラウンの被せ物を装着しました。
左上の前歯をラミネートベニヤしました。
治療に伴うリスク

2025-11-17

歯冠長延長術の症例

担当医
-
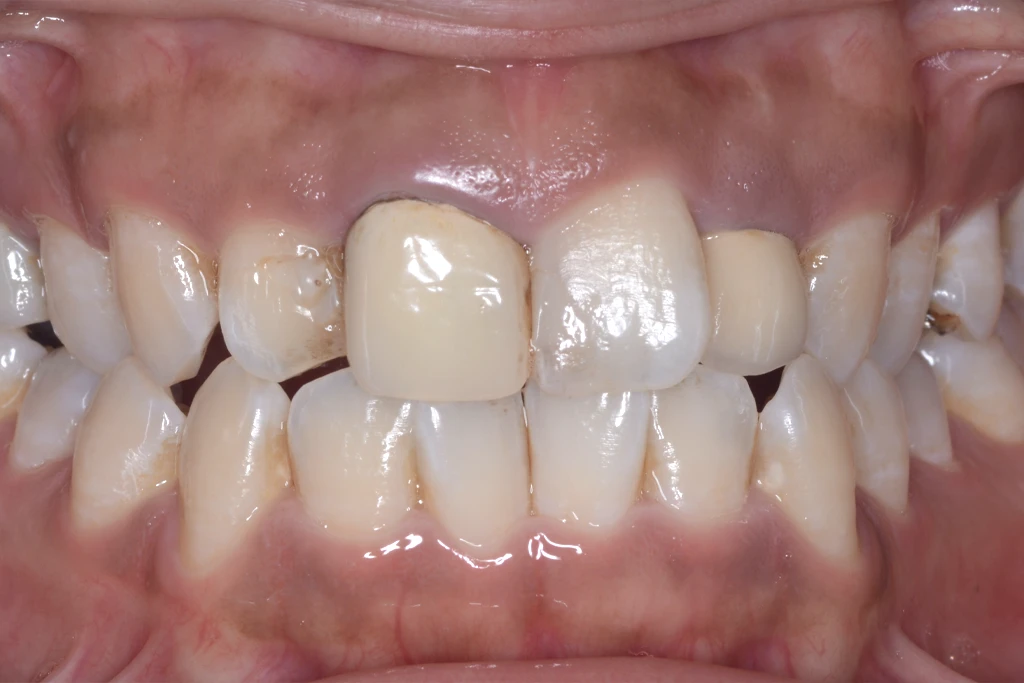
主訴
前歯の破折、被せ物の脱離
期間
約6ヶ月
費用
約300,000円(税抜)
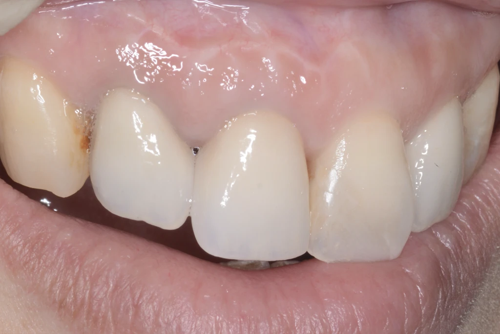
治療内容
右上の前歯にクラウンレングスニング(歯冠長延長術)、歯根端切除術を行い、オールセラミッククラウンの被せ物を装着しました。
左上の前歯を白い樹脂で欠けた部分を整えました。
治療に伴うリスク
歯肉の瘢痕形成

いつでも通えて便利!

平日と土日も診療している三国の歯医者
お口に関するお悩みや不安に思うこと、どうぞ遠慮なく当院にご相談ください。

診療時間
9:30-18:30
診療時間
【▲】土日:9:30~15:00
休診日
木曜・祝日

ご予約はWEB・お電話にて受付中!