- ホーム
- 症例
症例
審美治療の症例
ダイレクトボンディング
の症例
ホワイトスポット治療の症例
全顎補綴・入れ歯治療の症例
- 担当医
- -
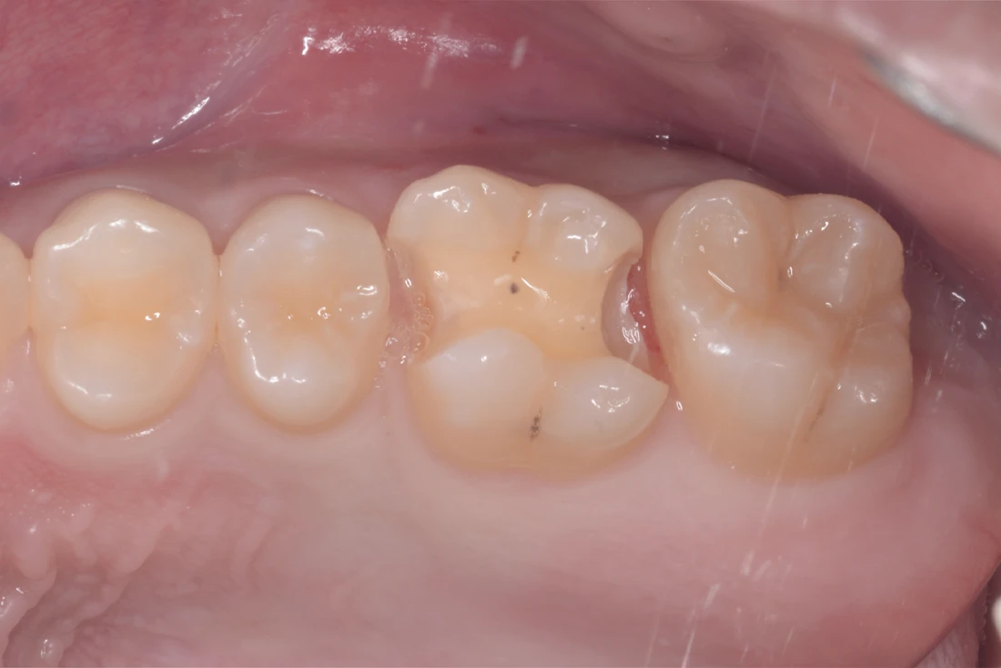
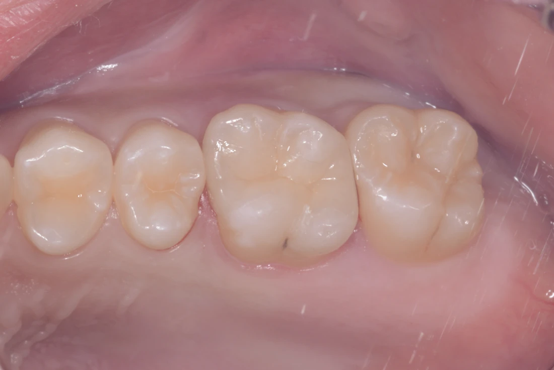
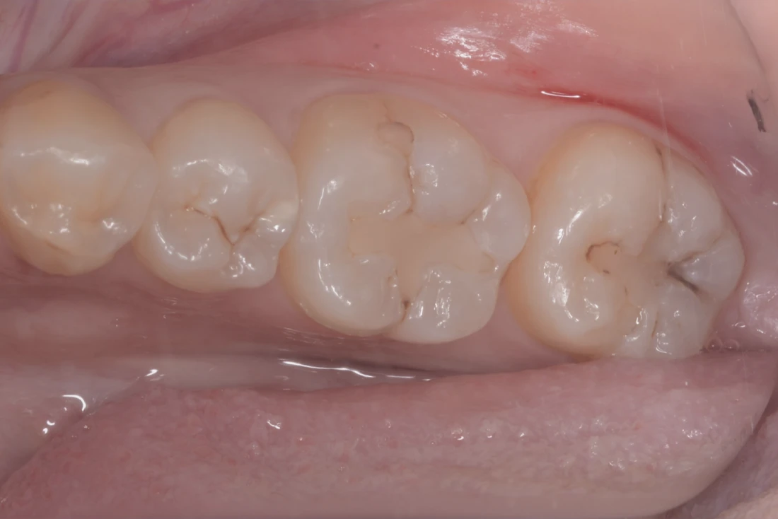
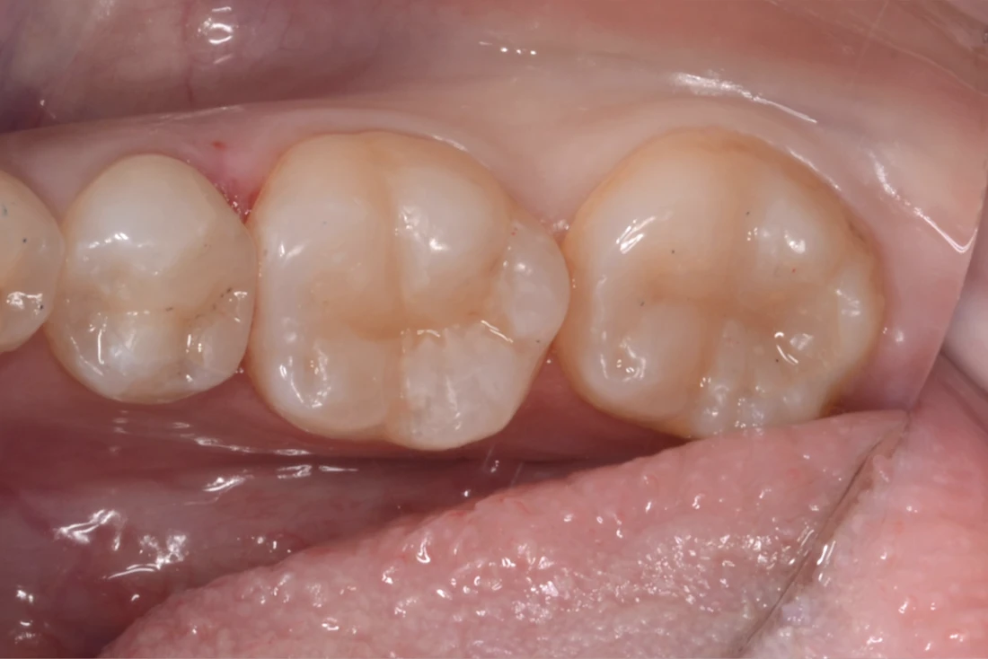
- 主訴
- 審美不良、咀嚼障害
- 期間
- 約1年
- 費用
- 約1,000,000円(税抜)
- 治療内容
- ・全顎補綴
・入れ歯治療
- 治療に伴うリスク
- 噛み合わせを獲得による顎関節症状のリスク










平日と土日も診療している三国の歯医者
お口に関するお悩みや不安に思うこと、どうぞ遠慮なく当院にご相談ください。
| 診療時間 | 月 | 火 | 水 | 木 | 金 | 土 | 日 |
|---|---|---|---|---|---|---|---|
| 9:30-18:30 | ● | ● | ● | ━ | ● | ▲ | ▲ |