- ホーム
- 症例
症例
審美治療の症例
ダイレクトボンディング
の症例
ホワイトスポット治療の症例
全顎補綴・入れ歯治療の症例
- 担当医
- -
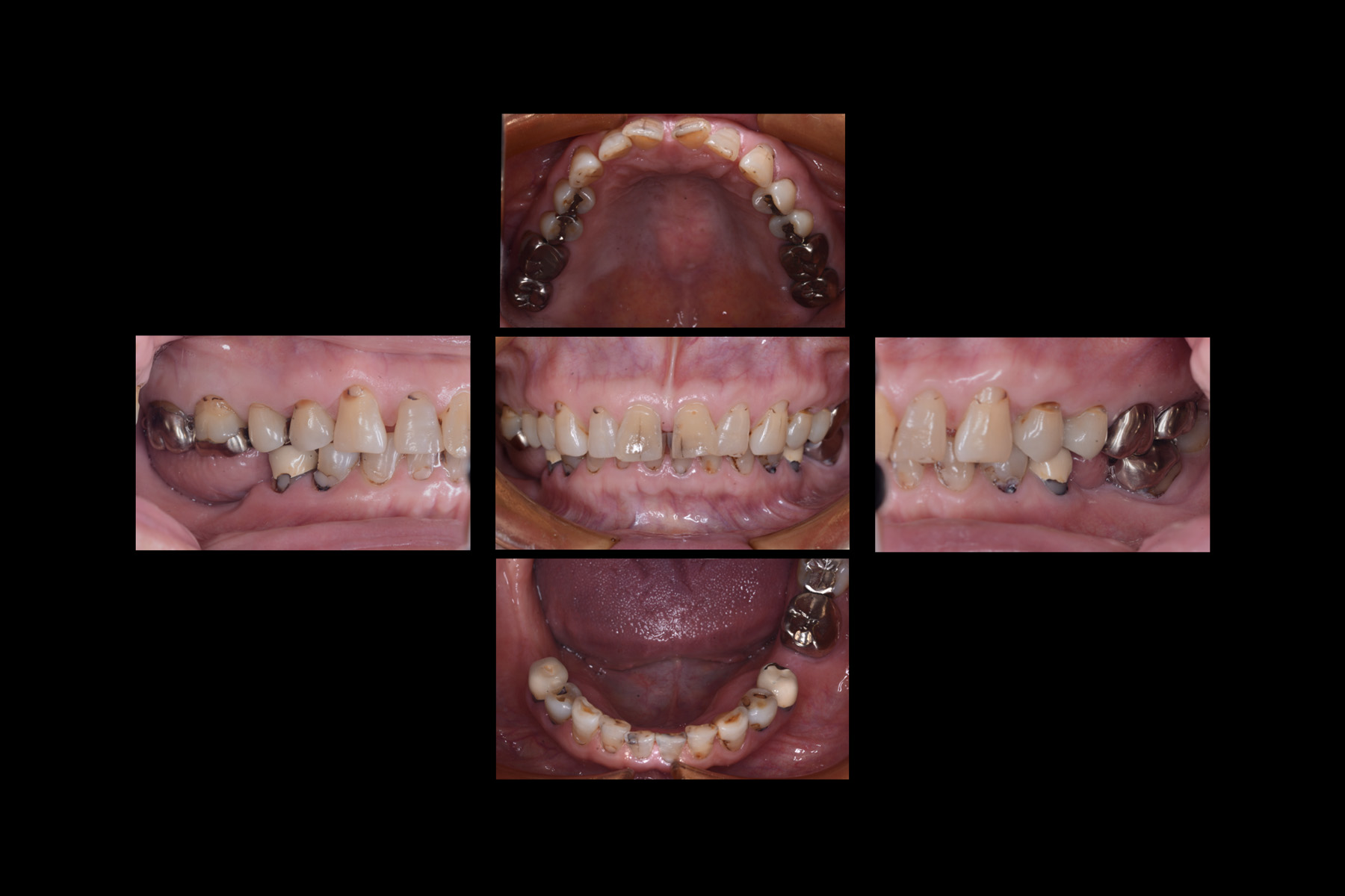
- 主訴
- 審美不良、咀嚼障害
- 期間
- 約1年
- 費用
- 約1,000,000円(税抜)
- 治療内容
- ・全顎補綴
・入れ歯治療
- 治療に伴うリスク
- 噛み合わせを獲得による顎関節症状のリスク
歯冠長延長術の症例
歯冠長延長術の症例
インプラントの症例
- 担当医
- -
- 主訴
- 欠損部と前歯部の審美不良
- 期間
- -
- 費用
- -
- 治療内容
- 角化歯肉も足りないため歯肉移植も同時に行っているケース。
欠損部と前歯部の審美不良を主訴に来院されました。
機能と審美の両問題を解決しました。
- 治療に伴うリスク
- -















