ホワイトスポット
(歯の白濁)治療
「抜歯しかないかも…」
と言われた方へ
―
歯を残すための選択肢


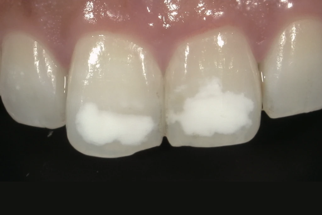
鏡を見たとき、前歯に白く濁ったような部分(ホワイトスポット)が気になったことはありませんか?ホワイトスポットは虫歯ではありませんが、歯の表面のエナメル質が部分的に弱くなって白く見える状態です。
「ホワイトニングしても白い部分が目立つ」「写真で気になる」など、審美的なお悩みの原因になることもあります。
当院のホワイトスポット治療の特徴
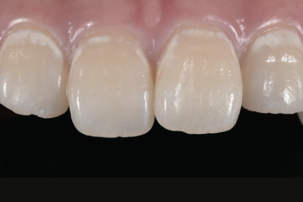
当院では、ホワイトスポットの場合、歯をほとんど削らずに自然な色調に近づける低侵襲な治療を基本としています。
患者様が気にされている審美性の原因や程度に合わせて、以下の治療法を組み合わせて行います。
① Icon(アイコン)治療
歯をほとんど削らずに、特殊な薬剤を浸透させて白濁を改善する治療法です。
歯の内部にある空隙を樹脂で埋めることで、透明感のある自然な見た目を取り戻します。
麻酔不要で痛みもほとんどなく、1回の来院で治療が完了することもあります。

② ダイレクトボンディング
白濁部分がやや深い場合や、アイコンで改善が難しい場合には、高品質な樹脂を用いて歯の表面を精密に修復します。
色調や透明感を丁寧に再現することで、どの角度から見ても自然な仕上がりになります。

③ ホワイトニングとの併用
ホワイトスポット治療後に全体のホワイトニングを行うことで、
歯全体のトーンを整え、より美しい口元を実現します。

④ ラミネートベニア
症状が重度で、他の方法では自然な改善が難しい場合には、
セラミックの薄いシェルを貼るラミネートベニアをご提案することもあります。
歯の形・色・透明感まで理想的に整えることが可能です。

ホワイトスポット治療
の流れ

カウンセリング・診査(原因・範囲の特定)
治療方法のご提案
治療実施
仕上がり確認・色調チェック
治療期間の目安
(初診、カウンセリングは除く治療回数)

| Icon治療 | 1回 |
| ダイレクト ボンディング | 1~2回 |
| ホワイトニング併用 | 2~3週間程度 |
| ラミネートベニア | 2~4回 |
※症例によって変動します。カウンセリング時に明確にご案内します。
ホワイトスポットでお悩みの方へ
ホワイトスポットは小さな悩みのようでいて、笑顔の印象を大きく左右します。
当院ではできるだけ削らない・痛みを最小限にをモットーに、患者様に合った最適な治療プランをご提案いたします。
まずはお気軽にご相談ください。



